Vivid E95:
- Ny generasjon ultralydteknologi med bilder i HD-kvalitet.
- Softwarebasert - egenutviklet programvare, cSound.
- Gjør avbilding med ultralydfrekvenser fra 1.4 – 15MHz
- Kan gjøre avbilding fra 0 – 50 cm
- Kan gjøre over 1000 bilder per sekund (kun i spesielle settinger, ikke under normal bruk)
- Hitil er 19 solgt i Norge.
- 95 % eksporteres.
- Prislapp: Ca. 150.000 dollar (1,3 mill NOK)
GE Vingmed i Horten:
- Ansatte: 200
- Omsetning: 1,4 milliarder kroner (2014)
- Totalt vedensmarked for hjerteultralyd: Ca 1,1 milliarder dollar, eller om lag 9,7 milliarder kroner
HORTEN: For syv år siden jobbet Erik Steen med noen ideer. To år etter startet utviklingen av det som fem år senere er blitt et ultralydapparat eksperter og leger lar seg imponere av.
I fjor lanserte GE sitt nye ultralydapparat for hjertediagnostikk, Vivid E95.
Da de største medisinteknologiske nyhetene skulle oppsummeres under en kongress i USA like før jul, ble GE-teknologi trukket fram som det største innen medisinsk avbildning.
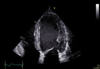
Ultralydmaskiner sender høyfrekvent lyd inn i kroppen og fanger opp ekkoene, som omdannes til visuelle bilder av organenes form.
I tidligere modeller har det meste av prosesseringen, det vil si tolkningen, vært gjort med maskinkraft. Nå er det digitalisering og programvare som har overtatt hovedjobben.
Digitalreform
Forgjengeren til Vivid E95 bruker seks kretskort med et stort antall prosessorer som er involvert i innsamling og prosessering av ultralyddata.
I den nye generasjonen er disse erstattet av ett kretskort. Prosesseringen skjer nå med egenutviklet software som kjører på en kraftig industri-PC integrert i scanneren.
– Vi har gjort et teknologiskifte fra hardware til software. Det gir oss mye mer fleksibilitet. Det går raskere når vi skal gjøre endringer. Før måtte vi vente til vi hadde laget ny hardware, nå er det digitalisert og endringer gjøres i programvare, sier Erik Steen, teknologisjef i GE Vingmed i Horten.
Sevald Berg er leder for utviklingsprogrammer hos GE Vingmed. Han følger prosjektene fra start til mål.


– Normalt tar det 4–5 år fra vi starter utviklingen av en ny maskin til vi leverer. Med teknologiskiftet er det i større grad algoritmer enn maskinvare som forbedres for å oppnå høyere bildekvalitet. Utviklingen kan gå fortere, sier Berg.
2D-3D-4D
Programvaren GE har utviklet for prosessering av ultralyd er kalt cSound.
Ultralydapparatet sender ut store mengder høyfrekvent lyd og mottar store mengder data tilbake. Mye er «støy» som kan lage uskarpe bilder.
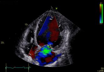
Programvaren cSound plukker de beste signalene og setter det sammen til et svært presist og godt bilde i sanntid, kontinuerlig. Altså ikke bare 2D og 3D, men 3D i sanntid, gjerne kalt 4D.
- Les om det prisbelønte håndholdte ultralydapparatet Vscan. Fem år er gått siden de fikk Ingeniørbragden. Nå har de lansert oppfølgeren

DVD på ett sekund
– Prosesseringskapasiteten til programvaren er på størrelse med en DVD i sekundet, det vil si at programvaren må analysere en datamengde tilsvarende en film som "Lord of the Rings" på ett sekund. Det er ikke noen forsinkelse å snakke om. Under kikkhullsoperasjoner kan kirurgen se instrumentet i sanntid, og fra flere vinkler. Det er viktig for at ikke legen skal treffe feil og gjøre skade på hjertet, sier Steen.
Under kikkhullsoperasjoner benyttes en probe – en signalsender og mottaker – plassert i pasientens spiserør. Bildet blir enda bedre enn ved avbilding fra utsiden av kroppen, da veien for lydsignaler er enda kortere inn til hjertet.
Fargekodingen for avstand, blant annet utviklet av GE største konkurrent, Phillips, gir kirurgen godt dybdebilde. Bildet kan snus og vendes og "lyssetting" endres for å få fram skygger og dybder.

Eliteserien
GEs ultralydutstyr for hjertediagnostikk ligger i det de selv kaller «premium»-sjiktet.
– Vi er nødt til å være innovative for å holde oss i dette sjiktet. Med den nye softwarebaserte teknologiplattformen, kan vi komme med oppdateringer ca. en gang i året uten at utstyret må byttes ut, sier Berg.
Teknologisjefen påpeker en annen fordel.
– Det er lettere å engasjere eksterne forskningslaboratorier i eksperimentering og hjelp til videreutvikling, sier Steen.
GE har tett kontakt med de relevante teknologimiljøene ved NTNU og Universitetene i Oslo og i Bergen. De har bidratt til å få fram den nye teknologiplattformen. Støtte fra Forskningsrådet og BIA-midler har også vært gode å ha.
Når bildene er gode, stilles det også krav til visningen. GE har vendt seg til Sony og fått det japanske selskapet til å utvikle en 22 tommers OLED-skjerm for Vivid E95.
– Vi oppnår svært gode detaljer, uten bruk av kontrastvæske. Det sparer tid og sykehuset sparer ved å slippe kostbart kontrastmiddel, sier Berg, som også legger vekt på brukervennlighet.
– Det skal være lett og intuitivt å bruke apparatene under operasjoner, sier Berg.
- Les også: Slik utføres en grå stær-operasjon

Quality from Horten
Ultralydapparatene fra GE Vingmed er utviklet og designet i Horten, mens produksjonen og sammenstillingen er satt ut til et lite utvalg høykvalifiserte underleverandører, deriblant Kitron. Mange av delen kommer også fra norske underleverandører og fra andre kanter av verden.
– Alle apparatene kommer til Horten for sluttkonfigurering og kvalitetssikring. Hvert apparat skreddersys for brukeren. Det skal være så lite som mulig å trykke på, sier Steen.
Alt pakkes og skipes ut fra Horten.
Det er rundt 200 ansatte ved GE Vingmed i Horten. De siste offentlige omsetningstall for GE Vingmed Ultrasound er fra 2014 og er på 1,4 milliarder kroner.
Vil kapre andeler
Totalmarkedet for medisinsk ultralydutstyr er på cirka 6 milliarder dollar (ca. 53 milliarder kroner).
De to store i hjerteultralyd er GE og Philips, med relativt like andeler.
– For oss i Horten er det viktigste segmentet hjerteultralyd, som er et totalmarked på rundt 1,1 milliarder dollar (ca. 9,7 milliarder kroner, red anm.). Vi satser selvsagt nå på å ta ytterligere andeler med Vivid E95, sier Dagfinn Sætre, administrerende direktør i GE Vingmed.
Imponerer
Jon Brubaker, en analytiker med ultralydteknologi som spesialfelt i selskapet MD Buyline Inc. i Texas, ble intervjuet på RSNA 2015 (Radiological Society of North America) i Chicago om hvilke nye trender og produkter han så som mest interessante i 2015.
Han mente bildene fra Vivid E95 var enestående og at man kan se strukturer man ikke har kunnet med ultralyd tidligere.
– Jeg snakket med mange kunder som ikke har GE-utstyr, men Phillips eller Siemens. Det er vanskelig for dem å bryte med sin leverandør, men de ønsket alle å se Vivid E95. GE gjør det godt og bildekvaliteten er imponerende, sier Brubaker i et TV-intervju.
Hjertekirurg Bijoy Khandheria ved Aurora St. Luke's Medical Center i Milwaukee, sier at det er som å se hjertet i "ekstrem 4D" med Vivid E95.
– Bildene er helt fantastiske. Det er som åpne brystkassen og se rett inn på hjertet som slår, sier han i en pressemelding.
Han sier at man kan se blodstrømmen og strømningsvirvlene rundt propper i arteriene. Det gir uvurderlig informasjon til kirurgene før operasjon.
- Jakten på kreftkuren: Jakten på kreftkuren: Her er norske forskere helt i front













